Dental Disease Has Been Recorded Since the
That descriptions related to dentistry and tooth decay were available. With the Indus Valley Civilization.
 		 		 		
 	Rutherford Veterinary Clinic Veterinary Clinic Veterinarian In Edmonton Alberta Ca Dental Month 2017 	
Purposes of Records A dental record should provide an accurate picture of the patients general health as well as oraldental status and any patient concerns and requests.
. The ADA subsequently worked with the Centers for Disease Control and Prevention CDC to develop CDCs own infection control recommendations for dentistry which were originally issued in 1993. Simple gum inflammation to serious disease that results in major damage to the soft tissue and bone that support the teeth. The American Dental Assistants Association is founded in 1924 by Juliette Southard and her female colleagues.
Periodontal diseases range from. How long has dental disease existed. 1 Since then the CDC has updated and supplemented their recommendations to reflect new scientific knowledge and growing understanding of the.
Increased attendance media coverage and social networking exposure characterize these upscale events as some of the hottest. COVID-19 is the deadliest pandemic in US. Learn more about the use of CADCAM in dentistry.
Although caries has significantly decreased for most Americans over the past four decades disparities remain among some population groups. In addition this downward trend has recently reversed for young. Since mankind began Who is referred to as the father of medicine Hippocrates What does the Hippocratic Oath promise.
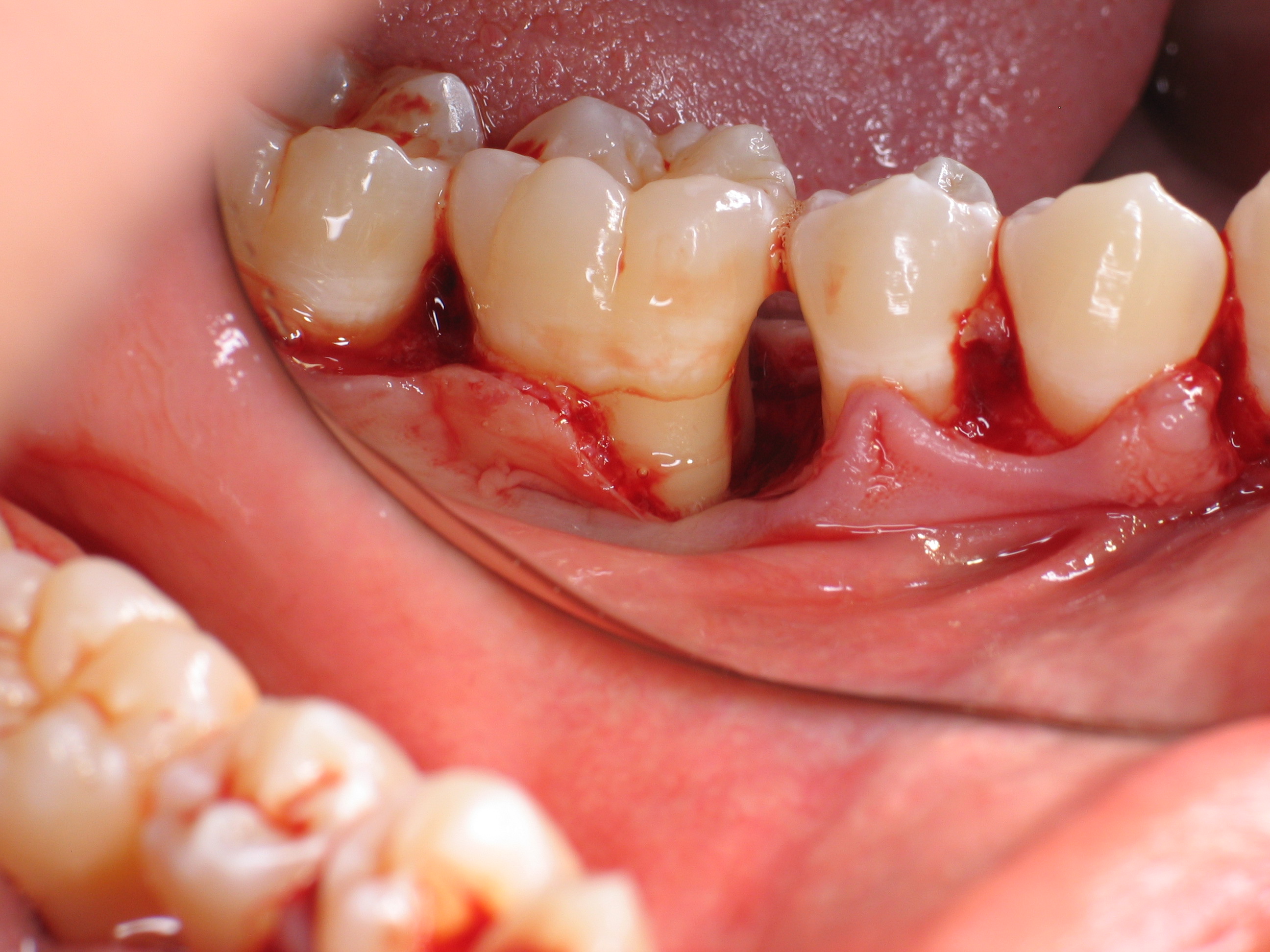
If you have been told you have periodontal gum disease youre not alone. To act ethically What type of dentistry did the Romans provide. Sterilization procedures should be monitored using biological mechanical and chemical indicators.
Stowe Eddy Dental Laboratory the first successful industrial-type laboratory in the US opens in Boston marking the ascendancy of the. Many adults in the US. The scanners make a 3D digital image of your mouth that dental technicians can use to design a prosthesis crowns veneers onlays inlays bridges implant-supported restorations or dentures and the prosthesis is then either milled out of a solid block of material or 3D printed.
They may be used to identify. Some of the most common diseases that impact our oral health include cavities tooth decay gum periodontal disease and oral cancer. 100 Replaceable by prosthesis.
Since only 20 of a cats teeth can be seen during a normal physical examination your cat should have complete oral health evaluations that are performed under general anesthesia. Dental professionals from around the globe gather under one spotlight to share expertise and excitement as masters of their medical craft. The majority of cases are dental caries tooth decay periodontal diseases oral cancers oro-dental trauma cleft lip and palate and noma severe gangrenous disease starting in the mouth mostly affecting children.
It has been traced back to the 49 AD and all the way up to present day although technology and new methods have improved the accuracy of person identificat. Most oral health conditions are largely preventable and can be treated in their early stages. How long has dental disease existed.
Dental disease has been treated since the first prehistoric toothache. Primitive history recorded incantations chemical and vegetable plasters and various rinses to treat oral pain. ALP is stored in specific granules and secretory vesicles of the neutrophils and is mainly released during their migration to the site of infection.
From 2019 to 2020 US. Note - These ratings apply only to bone loss through trauma or disease such as osteomyelitis and not to the loss of the alveolar process as a result of periodontal disease since such loss is not considered disabling 9914 Maxilla loss of more than half. Cat tooth removal may occur during a comprehensive dental exam which consists of.
Dentistry is one of the oldest medical professions dating back to 7000 BC. Dental Caries Tooth Decay Dental caries tooth decay remains the most prevalent chronic disease in both children and adults even though it is largely preventable. It should include the proposed treatment plan and.
The 19th century BC. Biological indicators or spore tests are the most accepted means of monitoring sterilization because they assess the sterilization process directly by killing known highly resistant microorganisms eg Geobacillus or Bacillus species. Incisal Edge 40 Under 40 events celebrate the dental industrys game changers.
The potential of alkaline phosphatase ALP as an important diagnostic marker of gingival crevicular fluid GCF has been the subject to investigation since 1970. Dental x-rays are used to diagnose diseases affecting the teeth and the bones since the inside of these structures is not seen when dentists look in your mouth. More than 40 of adults report having felt pain in their mouth within the last year and more than 80 of.
A periodontal examination with a periodontal probe to measure the position of the gingival and epithelial attachment finds that the probe terminates at a point apical to the CEJ as there has been detachment of gingival and. Some form of the disease. However it wasnt until 5000 BC.
Oral hygiene Gold crowns and Tooth extraction What artist first distinguished molars and premolars. Pertinent have been used throughout these Guidelines to indicate where professional judgment is expected. Number size and position of the teeth.
They provide important information to help plan the appropriate dental treatment. Who was the father of medicine. Oral health conditions.
Dental disease in cats is a condition that shows up often in middle-aged cats. In 2020 behind heart disease and cancer. Sexually transmitted diseases STDs previously known as venereal diseases VD were present among the populations of antiquity as well as during the Middle Ages.
Clay tablets from Mesopotamia Egyptian papyri along with mythology paintings of erotic scenes and presence of prostitutes give suff. At the time a Sumerian text described tooth worms as causing dental decay an idea that wasnt proven false until the 1700s. Life expectancy dropped by 3 years for Hispanic Americans 29 years for African Americans and.
It was the third-leading cause of death in the US. Not replaceable by prosthesis.
 		 		 		
 	Optimal Clinical Practice For Treating Patients With Periodontal Disease August 2016 Inside Dental Hygiene 	
 		 		 
 		
 	Talon Cusp Was First Recorded By Mitchell In 1892 Named By Mellor Because It Resemblance To An Eagle S Talon Gum Treatment Dental Dental Hygiene Student 	
 		 		 		
 	Rutherford Veterinary Clinic Veterinary Clinic Veterinarian In Edmonton Alberta Ca Dental Month 2017 	
No comments for "Dental Disease Has Been Recorded Since the"
Post a Comment